Unités de soins dentaires - Paris 19 - Asnières-sur-Seine - Dr. D. & C. TEMSTET
SOINS DENTAIRES EN EHPAD, EN MILIEU HOSPITALIER ET À DOMICILE - CABINET DENTAIRE PARIS 19 ET ASNIERES-SUR-SEINE
Accueil
Le cabinet
Accès
Soins à domicile - PMR - EHPAD
Urgences
Vidéos
Conseils
Parutions dentaires du Dr TEMSTET
Cas cliniques
Contactez-nous
Questionnaire pré-RDV
English
83 bd MacDonald 8 Terrasse du Parc La Villette, 75019 PARIS
+33 1 40 34 14 94
Unités de soins dentaires - Paris 19 - Asnières-sur-Seine - Dr. D. & C. TEMSTET
SOINS DENTAIRES EN EHPAD, EN MILIEU HOSPITALIER ET À DOMICILE - CABINET DENTAIRE PARIS 19 ET ASNIERES-SUR-SEINE
Accueil
Le cabinet
Accès
Soins à domicile - PMR - EHPAD
Urgences
Vidéos
Conseils
Parutions dentaires du Dr TEMSTET
Cas cliniques
Contactez-nous
Questionnaire pré-RDV
English
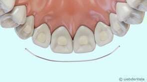
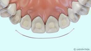
Fil de contention
Vidéos 3D
Partager
Twitter
Partager
Partager
Envoyer
Copier
Unités de soins dentaires - Paris 19 - Asnières-sur-Seine - Dr. D. & C. TEMSTET
83 bd MacDonald 8 Terrasse du Parc La Villette
75019
PARIS
+33 1 40 34 14 94
En savoir plus
Politique de confidentialité et charte cookie
Mentions légales
Conditions Générales Utilisation
Charte déontologique
Ordre national
Annuaires chirurgiens dentistes
Hygiène & Asepsie
Honoraires & Remboursement
Recherche
Création par
Connexion