Unités de soins dentaires - Paris 19 - Asnières-sur-Seine - Dr. D. & C. TEMSTET
SOINS DENTAIRES EN EHPAD, EN MILIEU HOSPITALIER ET À DOMICILE - CABINET DENTAIRE PARIS 19 ET ASNIERES-SUR-SEINE
83 bd MacDonald 8 Terrasse du Parc La Villette, 75019 PARIS
+33 1 40 34 14 94
Unités de soins dentaires - Paris 19 - Asnières-sur-Seine - Dr. D. & C. TEMSTET
SOINS DENTAIRES EN EHPAD, EN MILIEU HOSPITALIER ET À DOMICILE - CABINET DENTAIRE PARIS 19 ET ASNIERES-SUR-SEINE

Blog - Page 5

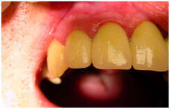
CAS CLINIQUE N° 1: REMPLACEMENT SUR IMPLANT D'UNE DENT ANTÉRIEURE SUPÉRIEURE L'INCISIVE LATÉRALE

CAS CLINIQUE N° 1: REMPLACEMENT SUR IMPLANT D'UNE DENT ANTÉRIEURE SUPÉRIEURE L'INCISIVE LATÉRALE

remplacement sur implant d'une dent antérieure supérieure l'incisive latérale

Régénération tissulaire guidée

Régénération tissulaire guidée

Maxillaire : all-on-4

Maxillaire : all-on-4

Expansion palatine - activation du disjoncteur

Expansion palatine - activation du disjoncteur

Extraction en orthodontie et réhabilitation par implant

Extraction en orthodontie et réhabilitation par implant

Comblement de sinus par voie latérale et implantation simultanée

Comblement de sinus par voie latérale et implantation simultanée

Affichage des articles 25-30 sur 212

Création par Webdentiste

Connexion